把手指浸在温水里大约三分钟,皮肤表面就会开始出现凹凸不平的皱纹。大多数人相信的解释是:皮肤吸水膨胀了,像海绵一样被泡发了。这个看似合理的答案流传了几十年,却在2003年被彻底推翻。神经学家Einar Wilder-Smith和Adeline Chow在《Muscle & Nerve》期刊上发表的研究证实,手指起皱不是因为皮肤膨胀,而是因为血管收缩导致皮下组织体积缩小——一个由自主神经系统精心控制的主动过程。
更令人惊讶的是,2025年宾汉姆顿大学发表在《Journal of the Mechanical Behavior of Biomedical Materials》上的研究显示:每次起皱形成的皱纹图案完全相同。就像指纹一样,你的"水皱纹"也是独一无二的。
一条被切断的神经,揭开了半个世纪的误解
1935年,医生们在治疗手部受伤患者时注意到一个奇怪的现象:那些正中神经被切断的病人,受伤的手指在泡水后不会起皱。正中神经是控制手部感觉和运动的主要神经之一,它还参与调节交感神经活动——包括出汗和血管收缩。这个发现暗示着,手指起皱可能与神经系统有关。
但当时的主流观点仍然是"渗透膨胀说":水通过渗透作用进入皮肤角质层,导致皮肤肿胀起皱。这个解释符合直觉,也没有人急于推翻它。
直到1970年代,越来越多的临床观察积累下来。医生们发现,不仅仅是正中神经损伤,任何影响交感神经功能的病变——包括糖尿病神经病变、脊髓损伤、腕管综合征——都会导致相应区域的手指失去起皱能力。O’Riain在1973年提出,可以将泡水起皱试验作为床边检测神经功能的简单方法。
Wilder-Smith的关键实验:血管收缩才是真凶
2003年,Wilder-Smith和Chow决定弄清楚起皱时手指内部究竟发生了什么。他们使用超声波测量健康志愿者泡水前后手指血流速度的变化。
结果非常清晰:起皱伴随着显著的血流量下降,尤其是在手指末端的数字动脉。当皮肤开始出现皱纹时,手指血流量已经大幅减少。这个发现直接证明了起皱是血管收缩的结果,而非皮肤膨胀。
为了进一步证实,他们进行了对照实验:在健康志愿者的手指上涂抹EMLA麻醉膏(一种含有利多卡因和丙胺卡因的局麻药)。EMLA会导致血管收缩,结果——手指没有泡水,却出现了同样的皱纹。这彻底终结了"渗透膨胀说"。
血管球体:手指里的微型温控器
那么,血管收缩是如何导致皮肤起皱的?答案藏在一种叫做**血管球体(Glomus Body)**的特殊结构中。
血管球体是皮肤真皮层中的微小动静脉吻合支,在手指和脚趾处最为密集。每个血管球体由一段盘曲的动脉段、静脉段和周围的结缔组织囊构成,直径约0.1-0.3毫米。它们的主要功能是体温调节:在寒冷环境中收缩以减少热量散失,在温暖环境中舒张以促进散热。
当手指浸泡在水中时,水通过汗腺导管进入皮肤,稀释了组织液中的盐分浓度。这种盐分变化被感觉神经检测到,信号沿正中神经传递到脊髓,再通过交感神经纤维返回手指,命令血管球体收缩。
血管球体收缩后,其体积缩小,手指软组织的总体积也随之减少。但表层的皮肤——尤其是厚厚的角质层——面积并没有相应缩小。结果就像把一个充气的气球放掉一些气:表面形成褶皱。
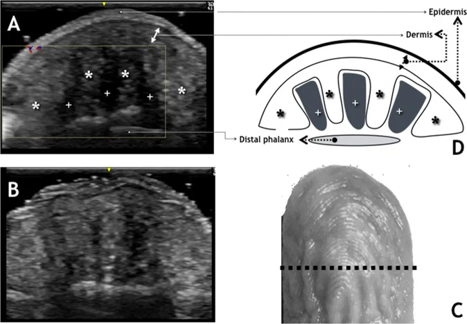
2019年发表在《Scientific Reports》上的超声研究提供了直接证据:泡水起皱后,手指末端低回声区(代表富含液体的组织空间)面积减少了约50%——从占总横截面积的12.9%降至6.6%。

图片来源: Scientific Reports / PMC - 手指末端超声图像,显示起皱前(A)后(B)的组织结构变化
为什么偏偏是手指和脚趾?
身体其他部位的皮肤泡水后为什么不起皱?原因在于皮肤结构的差异。
手指和脚趾覆盖的是无毛皮肤(Glabrous Skin),也称为厚皮肤。这种皮肤的表皮分为五层,比身体其他部位多了一层透明层(Stratum Lucidum),最外层的角质层也特别厚,可达1.5毫米以上。身体其他部位的角质层通常只有0.05-0.1毫米。
厚的角质层意味着更强的刚性和更低的弹性。当皮下组织收缩时,这层"硬壳"无法均匀地随之收缩,只能被迫折叠。就像把一块硬纸板覆盖在正在收缩的软垫上——纸板会皱起来。
此外,手指和脚趾是血管球体分布最密集的区域。每平方厘米的手指皮肤可能包含数百个血管球体,而手臂或躯干上几乎没有这种结构。这也解释了为什么只有手指和脚趾会"选择性"起皱。
雨胎假设:起皱是为了更好地抓握湿物体
既然手指起皱是由神经系统主动控制的,那么它很可能具有某种功能。2011年,理论神经生物学家Mark Changizi提出了**“雨胎假设”(Rain Treads Hypothesis)**。
Changizi注意到,手指起皱形成的沟壑图案与汽车轮胎的排水纹路惊人地相似。他认为,这些皱纹可能起到排水通道的作用:当你用起皱的手指抓握湿物体时,皱纹形成的沟壑可以迅速将水排出,增加摩擦力。
2013年,纽卡斯尔大学的Tom Smulders团队在《Biology Letters》上发表了验证这一假设的实验。他们让20名志愿者在不同条件下转移玻璃球和铅制重物:有时物体是干的,有时浸没在水中;有时手指已起皱,有时则未起皱。
结果非常清晰:用起皱的手指转移水中的物体,比用未起皱的手指快12%。而对干燥物体,起皱与否没有任何影响。这证明了手指起皱确实能够改善在湿滑条件下的操作能力。
2021年发表在《PLOS ONE》上的另一项研究进一步量化了这种优势:当抓握湿物体时,起皱的手指所需的抓握力减少了约20%,基本与抓握干燥物体所需的力相当。这意味着起皱让你可以用更小的力量稳固地抓握湿滑物体,肌肉更不容易疲劳。
进化的痕迹
手指起皱改善湿物抓握的能力,暗示这可能是一种进化适应。想象一下我们祖先的生活环境:在雨后的湿滑岩石上行走、在溪流中涉水、抓握沾着露水的树枝或从水中捕捞鱼类——拥有这种"自动防滑功能"可能会带来显著的生存优势。
一些间接证据支持这一推测。日本猕猴是已知唯一会在热水中长时间浸泡的灵长类动物,观察发现它们的手指在泡水后也会起皱。这提示手指起皱可能并非人类独有。
另一个有趣的线索来自盐水的效果:在盐水中,手指起皱更慢且程度更轻。这可能是因为海水与皮肤之间的盐分浓度梯度较小,触发的神经信号较弱。如果手指起皱是为了在淡水中更好地操作——比如在溪流中捕鱼或涉水——这个特性就更加合理了。
起皱测试:最便宜的临床诊断工具
手指起皱对神经系统的依赖性,使其成为一种简单而有效的临床诊断工具。
腕管综合征:正中神经在腕部受压是最常见的手部神经病变。医生可以让患者将双手浸入温水中观察起皱情况——受影响的手指起皱会明显减少或消失。2022年发表在《Scientific Reports》上的研究建议,浸泡90秒即可获得可靠结果。
糖尿病神经病变:糖尿病患者常发展为周围神经病变,影响自主神经功能。研究发现,糖尿病患者的皮肤起皱能力显著下降,这与血糖控制不佳的持续时间相关。
囊性纤维化:这是一种与CFTR基因突变相关的遗传病,影响多个器官系统。奇怪的是,囊性纤维化患者反而会出现过度起皱——手掌和手指在接触水后迅速形成明显的皱纹。研究发现,高达84%的囊性纤维化患者和25%的基因携带者都有这种现象。这可能与汗腺功能异常和离子转运障碍有关。
帕金森病:帕金森病的典型症状是单侧起病,这为诊断提供了线索。如果患者浸泡双手后,发现一侧手指起皱明显少于另一侧,可能提示该侧的交感神经功能受损,是帕金森病的早期征象。
心力衰竭:研究观察到充血性心力衰竭患者的手指起皱减少,可能与全身血流动力学改变和自主神经功能紊乱有关。
2025年的发现:你的皱纹图案是独一无二的
2025年5月,宾汉姆顿大学生物医学工程系Guy German教授团队发表了关于手指起皱的一项新发现。这个研究的起源很有意思:German此前写了一篇科普文章解释手指起皱机制,一个学生读者提了一个他没有答案的问题:“手指每次起皱的图案都一样吗?”
为了回答这个问题,研究团队让受试者将手指浸入水中30分钟,拍照记录皱纹图案,然后至少24小时后在相同条件下重复实验。对比两次照片后发现:起皱图案几乎完全相同。
这个发现印证了起皱的解剖学基础:皱纹的形成取决于皮下血管和结缔组织的分布,而这些结构在成年后基本保持稳定。就像你的指纹一样,你的"水皱纹"也是个人的独特标记。

图片来源: Binghamton University - 起皱由皮下血管收缩导致,皱纹图案保持稳定
这项研究还有一个有趣的插曲:German的一名学生告诉他,自己某根手指有正中神经损伤。研究团队测试了这名学生——受伤的手指确实完全不起皱。这为临床诊断价值提供了活生生的证据。
未解之谜
尽管对手指起皱的研究已近百年,仍有许多问题没有明确答案。
为什么起皱后会恢复? 泡水后手指会在10-20分钟内恢复正常外观。如果起皱有利无害——既改善湿物抓握,又不影响干燥条件下的操作——为什么不是永久保持皱纹状态?一种猜测是起皱可能影响触觉敏感度或增加皮肤受伤风险,但尚无确凿证据。
为什么女性比男性起皱更慢? 临床观察发现,在相同条件下女性需要更长时间才能形成皱纹。原因不明,可能与皮肤结构或自主神经功能的性别差异有关。
为什么醋能加速起皱? BBC报道称,将手浸入温醋中只需约4分钟就能起皱,比普通水快得多。机制尚不清楚,可能与醋酸改变了皮肤表面的离子环境或通透性有关。
其他灵长类是否也起皱? 除了日本猕猴,其他灵长类动物的起皱现象尚未被系统研究。如果这是人类独有的特征,可能与工具使用或特定生存环境有关;如果是更广泛的灵长类特征,则可能与树栖生活的湿滑表面适应有关。
结语
下次你在洗澡后看到手指上那些皱巴巴的纹路时,不妨换个角度来看待它们。这不是皮肤被水"泡坏了",而是一个精心设计的神经反射在为你服务——一个可能在几百万年前就帮助过你祖先在湿滑环境中生存的进化遗产。
更重要的是,这个看似普通的现象背后,藏着一套完整的解剖学、生理学和进化逻辑:从血管球体的微观结构到交感神经的信号传递,从皮肤层次的刚性差异到皱纹图案的排水功能。把手指浸入水中的那几分钟里,你的身体正在完成一次复杂的生理计算——判断是否需要开启"防滑模式",然后精准地执行。
或许最令人惊讶的是,这一切发生得如此安静、如此自动,以至于我们理所当然地忽视了这个过程长达数十年。科学探索的意义,往往就在于此:将那些我们习以为常、自以为理解的事物,重新放在显微镜下审视,然后发现一个远比想象中更加精妙的世界。
参考文献
-
Wilder-Smith EP, Chow A. Water-immersion wrinkling is due to vasoconstriction. Muscle Nerve. 2003;27(3):307-311. doi:10.1002/mus.10323
-
Kareklas K, Nettle D, Smulders TV. Water-induced finger wrinkles improve handling of wet objects. Biol Lett. 2013;9(2):20120999. doi:10.1098/rsbl.2012.0999
-
Changizi M, Weber R, Kotecha R, Palazzo J. Are wet-induced wrinkled fingers primate rain treads? Brain Behav Evol. 2011;77(4):286-290. doi:10.1159/000328223
-
German G, Laytin R. Topographical wrinkle patterns on skin caused by water immersion. J Mech Behav Biomed Mater. 2025.
-
Wilder-Smith EPV. Water immersion wrinkling—physiology and use as an indicator of sympathetic function. Clin Auton Res. 2004;14(2):125-131. doi:10.1007/s10286-004-0172-4
-
Glomus body. Wikipedia. https://en.wikipedia.org/wiki/Glomus_body
-
Why your fingers wrinkle in water (and what it can reveal about your health). BBC Future. 2025.
-
Evaluation of the finger wrinkling test: a pilot study. PMC. 2010. https://pmc.ncbi.nlm.nih.gov/articles/PMC2892617/
-
Fluid Containing Structures in the tips of the fingers and toes delineated by Ultrasound Imaging before and after Induced Skin Wrinkling. Sci Rep. 2019;9:7214. https://pmc.ncbi.nlm.nih.gov/articles/PMC6367415/
-
Water-immersion finger-wrinkling improves grip efficiency in handling wet objects. PLOS ONE. 2021;16(7):e0253185.
-
The optimal duration for the wrinkle test in a clinical setting. Sci Rep. 2022;12:8877.
-
Aquagenic Wrinkling of the Palm: A Rare Diagnostic Clue of Cystic Fibrosis. PMC. 2021.
-
O’Riain S. New and simple test of nerve function in hand. Br Med J. 1973;3(5881):615-616.